Android
Otkriven neobičan oblik koronavirusa, ljekari mislili da je riječ o raku pluća

Turčin N. T. mogao bi da bude jedinstven primjer po načinu na koji ga je napao koronavirus. Prema riječima turske doktorice, 52-godišnji pacijent patio je od napada COVID-19, koji oponaša karakteristike raka pluća.
Pacijentu u južnoj turskoj provinciji Kahramanmaras prvobitno je dijagnostifikovan rak pluća, ali je prije operacije uklanjanja tumora bio pozitivan na koronavirus. Nakon liječenja infekcije, bio je dobro, na iznenađenje ljekara, bez tragova raka.
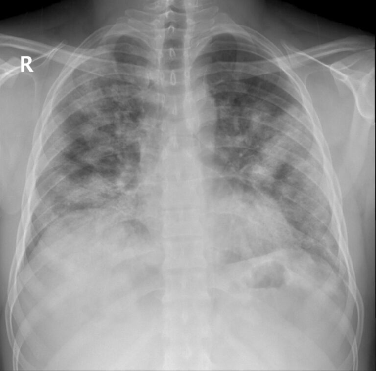
Doktorka Fatos Kozanlı, koja je pratila pacijenta, rekla je da bi pacijent mogao da bude prvi u svijetu zaražen takvim oblikom koronavirusa. On je patio od bolova u grudima kada je posjetio bolnicu i otkriveno je da ima tumor na desnom plućnom krilu, četiri centimetra širok. Nakon daljeg pregleda dijagnostifikovan mu je rak i zakazan je za operaciju.
Operacija je odložena kada je bio pozitivan na koronu. Kozanlı, koja je trebalo da ga operiše, uradila je posljednje snimke nakon što je pacijentov test na COVID-19 bio negativan. Tada je saznala da pacijent uopšte nema tumor.
“Imao je simptome vrlo, vrlo slične karcinomu pluća. Ali poslednje snimanje prije operacije pokazuje da je nestalo. Bili smo iznenađeni. Tumor ne može nestati sam od sebe. Da je patio od neke druge bolesti, ni to ne bi nestalo za tako kratko vrijeme. Naši nalazi pokazali su da je COVID-19 u potpunosti oponašao simptome raka pluća”, rekla je Kozanlı.
Doktorica je primijetila da – iako je N.T. imao koronavirus, nije patio od simptoma koji su obično povezani s bolešću – poput kašlja ili visoke temperature – i tek je putem PCR testa otkriveno je da je zaražen.
“Imao je samo bol u grudima, koji je isprva bio povezan s rakom pluća”, rekla je u nedjelju novinskoj agenciji DHA, prenose turski mediji.
Kozanli je rekla da je listala međunarodne medicinske časopise i da nije našla saznanja o takvom slučaju.
Turkish doctor claims world-first case of #COVID19 patient whose ‘lung cancer’ turned out to be coronavirus successfully mimicking neoplasmhttps://t.co/eohwlrZXYb
— DAILY SABAH (@DailySabah) September 12, 2021
Preuzmite mobilnu aplikaciju 072info za Android: KLIKNI OVDJE
Preuzmite mobilnu aplikaciju 072info za iOS: KLIKNI OVDJE
POVEZANE OBJAVE























