Android
Petogodišnjak kašljao tri mjeseca, doktori mu u plućima otkrili nešto iznenađujuće

Kašalj (lat. tussis) predstavlja automatski, prirodni refleks (bez čovjekove volje) koji pomaže da se iz disajnih puteva izbace sekret, razni iritansi, strane čestice i mikroorganizmi.
Kašalj se sastoji od tri faze: udisanja, izdisanja te automatskog otpuštanja zraka (s ili bez sekreta) iz pluća, obično popraćenog prepoznatljivim zvukom. Adekvatno liječenje ovisi o uzroku, a uvijek treba imati na umu i mjere sprječavanja širenja zaraznih bolesti.
Doktori u Paragvaju ostali su zbunjeni kašljem petogodišnjeg dječaka, koji je trajao tri mjeseca. Bili su šokirani kad su konačno otkrili razlog, piše The Sun.
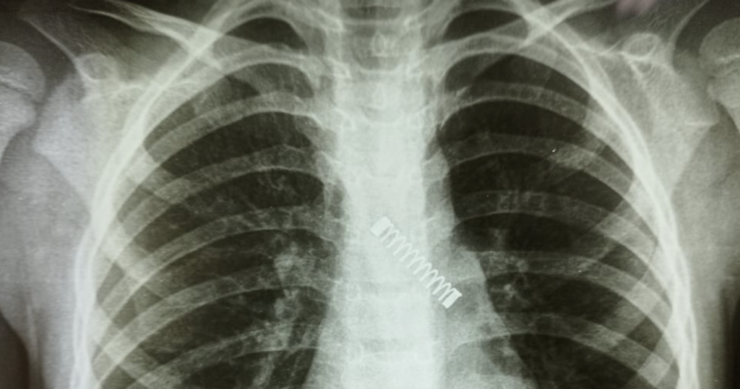
Dječak je, naime, patio od jakog kašlja od decembra 2022. godine i tek nakon što se nije smirivao duže vrijeme, roditelji su ga odveli kod doktora, koji ga je uputio specijalisti. Dok su doktori obavljali opsežne provjere kako bi otkrili šta se događa i zašto kašalj ne prestaje mjesecima, pronašli su metalni predmet u dječakovom lijevom plućnom krilu.
Rentgenske snimke su, naime, otkrile da dječak ima metalnu oprugu u plućima! Prebačen je u Nacionalni institut za respiratorne bolesti na hitno liječenje. Ondje je operisan i uspješno mu je uklonjena metalna opruga.
Dr. Carlos Morinigo izjavio je kako je operativni postupak bio komplikovan zbog vremena tokom kojeg je strano tijelo ostalo zaglavljeno u dječakovim plućima, kao i štete koju je prouzročilo u tom razdoblju.
Uprkos tome što je prouzrokovalo, kako su doktori utvrdili, “vjerovatno smanjenje kapaciteta pluća”, dr. Morinigo je izrazio očekivanje da će se stanje vjerovatno poboljšati kako dječak bude rastao. Doktor je objavio fotografiju pluća uz poruku: “Tri mjeseca kašlja. Nikad ranije nije bio odveden liječniku. Jadno malo stvorenje”, prenosi Slobodna Dalmacija.
Također je poručio roditeljima da budu posebno oprezni oko manje djece i da ne oklijevaju oko odvođenja doktoru kad se pojavi nesvakidašnji, dugotrajniji problem.
Ako vaše dijete normalno jede, pije, diše i nema zvukova zviždanja, kašalj obično nije razlog za brigu. Djeca mlađa od šest godina ne bi smjela uzimati lijekove protiv kašlja i prehlade bez recepta, osim ako te lijekove nije uključio njihov doktor, dodaje se u tekstu.
Za svaki kašalj koji traje duže od sedmicu dana ili kraće, ako ga prate druge poteškoće, obavezno dijete odvedite doktoru.
Preuzmite mobilnu aplikaciju 072info za Android: KLIKNI OVDJE
Preuzmite mobilnu aplikaciju 072info za iOS: KLIKNI OVDJE
POVEZANE OBJAVE




















