Android
Nakon vađenja umnjaka počeo čudno štucati: Uzrok šokirao i ljekare

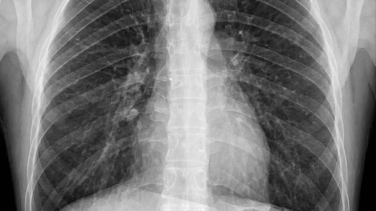
Rutinsko vađenje umnjaka za muškarca iz Brazila pretvorilo se u pravu dramu nakon što je počeo osjećati neobično i bolno štucanje. Rendgenska snimka prsnog koša otkrila je bizaran uzrok njegovih tegoba – jedan od izvađenih umnjaka završio mu je u plućima.
Artur iz São Paula svoju je priču podijelio na Redditu, gdje je objavio i rendgensku snimku. Ispričao je da su mu zubari rekli kako mora izvaditi sva četiri umnjaka, a kako se jako boji igala, tražio je da tokom zahvata bude pod sedacijom.
Na početku se činilo da je sve prošlo bez problema. No, nakon operacije zubar mu je rekao da je jedan zub skliznuo niz grlo te pretpostavio da ga je progutao.
Nakon operacije krenuli problemi
Artur je nakon zahvata otišao kući i isprva, osim očekivane boli u ustima, nije primjećivao ništa ozbiljno. Onda su se pojavili čudni simptomi.
Počeo sam jako čudno štucati. Bilo je snažno i boljelo me u prsima. Događalo se samo kad bih stajao, a kad bih legao, prestalo bi – rekao je za Newsweek.

Kad je tokom noći dobio i temperaturu, nazvao je stomatologa, koji je posumnjao da je možda udahnuo zub. Savjetovao mu je da odmah ode u bolnicu i napravi rendgensku snimku prsnog koša.
Snimka je potvrdila sumnju – umnjak mu je završio u plućima. Doktori su mu objasnili da pacijent u takvoj situaciji obično zakašlje ili proguta zub, no kako je Artur bio pod sedacijom, taj refleks nije radio.
Izvadili mu zub i sve je završilo dobro
Zub su mu potom izvadili bronhoskopijom, postupkom u kojem liječnici malom kamerom ulaze u dišne putove i pluća kako bi pronašli i uklonili strano tijelo.
Na sreću, sve je završilo bez trajnih posljedica. Artur je rekao da su simptomi nestali odmah nakon zahvata i da se brzo oporavio.
Njegova objava izazvala je brojne reakcije na Redditu, a mnogi su priznali da ih je priča prilično prestrašila, naročito oni kojima tek slijedi vađenje umnjaka.
Artur je na kraju poručio da je svoju priču podijelio i kao upozorenje drugima da ne ignoriraju neobične simptome jer strano tijelo u plućima, ako se na vrijeme ne otkrije, može izazvati ozbiljne komplikacije.
Preuzmite mobilnu aplikaciju 072info za Android: KLIKNI OVDJE
Preuzmite mobilnu aplikaciju 072info za iOS: KLIKNI OVDJE
POVEZANE OBJAVE






















