Android
Prirodni načini za izbjeljivanje zuba

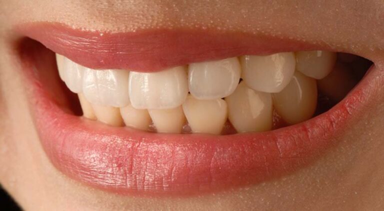
Bijeli zubi znak su dobrih higijenskih navika, brige o sebi, kao i sa svijesti o tome kakav utisak ostavljamo na druge.
Iako svi znamo da danas postoje različiti stomatološki tretmani koji nam mogu pomoći da za kraće vrijeme postignemo efekat bijelih zuba, vrlo često su cjenovno iznad naših mogućnosti ili nas pak strah sprječava da se odlučimo za ovakve vrste intervencija koje sa sobom uvijek povlače blažu ili težu osjetljivost dentina zuba.
Tada pribjegavamo prirodnim rješenjima za blistav i zdrav osmijeh.
Soda bikarbona
Sjećate li se kako je vaša baka uvijek u ostavi imala teglu soda bikarbone vjerujući da je baš ona dobra za niz zdravstvenih tegoba, pa i za uklanjanje mrlja sa površine zuba?
Danas znamo da ova praškasta supstanca čije je pravo ime natrijum-bikarbonat, u dodiru sa vodom oslobađa molekule koji djeluju abrazivno na površinu gleđi.
Uklanja mrlje i fleke koje se zadržavaju kao posljedica unošenja kafe, duvana ili namirnica koje boje zube. Osim blagog abrazivnog efekta, soda bikarbona izbjeljuje zube dovodeći do oksidacije u kristalima gleđi, istovremeno čuvajući zdravlje usne duplje podizanjem ph vrijednosti na normalu, uklanjanjem bakterija sa površine jezika kao i neprijatnog zadaha koji nastaje kao posljedica istih.
Ipak, trebalo bi znati da njeno svakodnevno, dugotrajno i pretjerano korišćenje može dovesti i do nekih nus efekata poput oštećenja zubne gleđi.
Soda bikarbona
Sjećate li se kako je vaša baka uvijek u ostavi imala teglu soda bikarbone vjerujući da je baš ona dobra za niz zdravstvenih tegoba, pa i za uklanjanje mrlja sa površine zuba?
Danas znamo da ova praškasta supstanca čije je pravo ime natrijum-bikarbonat, u dodiru sa vodom oslobađa molekule koji djeluju abrazivno na površinu gleđi.
Uklanja mrlje i fleke koje se zadržavaju kao posljedica unošenja kafe, duvana ili namirnica koje boje zube.
Osim blagog abrazivnog efekta, soda bikarbona izbjeljuje zube dovodeći do oksidacije u kristalima gleđi, istovremeno čuvajući zdravlje usne duplje podizanjem ph vrijednosti na normalu, uklanjanjem bakterija sa površine jezika kao i neprijatnog zadaha koji nastaje kao posljedica istih.
Ipak, trebalo bi znati da njeno svakodnevno, dugotrajno i pretjerano korišćenje može dovesti i do nekih nus efekata poput oštećenja zubne gleđi.
Jabukovo sirće – izbjeljuje i otklanja zadah
Jabukovo sirće najviše poznajemo kao namirnicu u domaćinstvu namijenjenu za upotrebu u različitim salatama kako bi nas osvježilo i opskrbilo vitaminima.
Ali, da li znate da upotrebom jabukovog sirćeta jednom dnevno možete i da izbijelite zube?
Pomiješano sa vodom u jednakim razmjerama, jabukovo sirće uništava bakterije na površinama oralne mukoze dok istovremeno štiti gleđ.
Jabučna kiselina, kao prirodni izbjeljivač, dolazi u kontakt sa molekulima gleđi odakle odstranjuje fleke i mrlje vraćajući bjelinu osmijehu i svježinu našem dahu, piše “Informer“.
Preuzmite mobilnu aplikaciju 072info za Android: KLIKNI OVDJE
Preuzmite mobilnu aplikaciju 072info za iOS: KLIKNI OVDJE
POVEZANE OBJAVE














