Android
STRAVIČNO: Progutao iglu, doktori je pronašli u srcu

Tinejdžer je progutao iglu za šivenje dok je ušivao svoju odjeću, a nekim čudom nije ni primijetio.
Nekoliko dana kasnije doktori su je pronašli na neobičnom mjestu – njegovom srcu.
Sedamnaestogodišnjak se javio u urgentni centar nakon što je osetio bolove u grudima. Ljekarski izveštaj objavljen 29. jula u The Journal of Emergency Medicine navodi da je pacijent osećao oštar bol, koji se širio kroz leđa i pojačavao se tokom ležanja ili kada bi duboko udahnuo.
Rezultat elektrokardiograma bio je abnormalan i doktori su pomislili da je riječ o perimiokarditisu – upali srčanog mišića i okolne membrane. Laboratorijski testovi pokazali su da pacijent u krvi ima povišene nivoe proteina koji ukazuju na povredu srca.
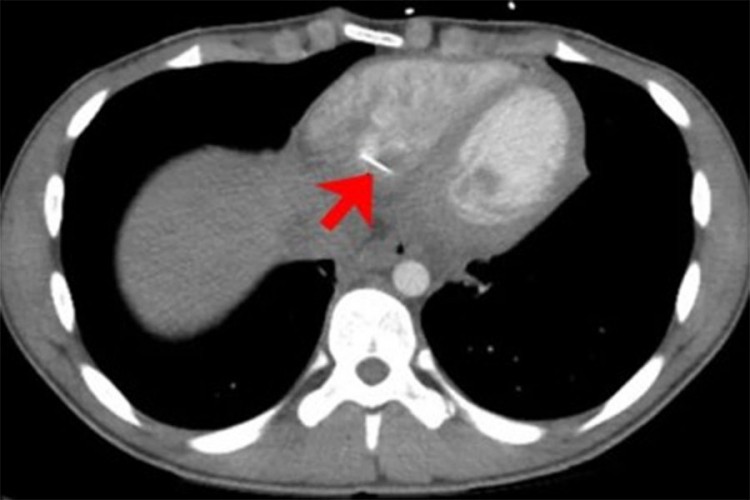
Skeniranjem srca primećen je linearno metalno strane telo u srcu. Predmet je bio oko 3,5 centimetra dugačak i virio je iz donjeg dijela desne komore srca, koja pumpa krv u pluća.

Tinejdžer je isprva rekao doktorima da nije progutao nikakva strana tela, ali je kasnije otkrio da je zašivao nešto na odeći, a da je obično držao igle ustima. Ipak, i dalje je tvrdio da uopšte nije bio svjestan da je progutao jednu.
Doktori su uspjeli da mu tokom operacije odstrane predmet i zaista se radilo o šivaćoj igli, koja je, kako vjeruju, kroz gastrointestinalni trakt stigla do srca, rekao je za portal Lajv sajens Boni Metjus, koji je asistent profesora na odjeljenju za pedijatriju u Medicinskom centru u Vorčesteru u Masačusetsu.
Strana tijela su i ranije pronalažena u srcu, ali veoma rijetko. U Kini su doktori 2016. godine imali slučaj 48-godišnje žene koja je doživjela infarkt nakon što je igla probila grudi i zastala u srcu.
Preuzmite mobilnu aplikaciju 072info za Android: KLIKNI OVDJE
Preuzmite mobilnu aplikaciju 072info za iOS: KLIKNI OVDJE
POVEZANE OBJAVE























